A.
Os
clavicula
Proyeksi yang digunakan pada teknik radiografi clavicula
adalah sebagai berikut :
Ø Proyeksi Anterior Posterior
·
Posisi
pasien : pasien berdiri dengan kaset
vertikal di belakang sendi bahu yang difoto atau tidur telentang di atas meja
pemeriksaan dan kaset diletakkan horizontal di bawah sendi bahu yang akan
difoto.
·
Posisi
objek : sendi bahu yang tidak difoto
diganjal sedikit, bahu yang difoto punggungnya menempel pada kaset dan lengan lurus
ke bawah di samping tubuh.
·
Arah
sinar : horizontal apabila pasien
berdiri dan vertikal apabila pasien tiduran.
·
Titik
bidik : pada pertengahan os clavicula
·
FFD : 90 cm
·
Kaset : 24 x 30 cm
·
Kriteria
radiograf : tampak gambaran AP Os clavicula dengan ujung proximal mengalami
superposisi dengan costae.
Keterangan
gambar :
1.
Acromion
2.
Sendi
acromion clavicula
3.
Os
clavicula
4.
Angusus
scapula
5.
Sendi
sterno clavicula
6.
Processus
coracoideus
Ø Proyeksi Posterior Anterior
·
Posisi
pasien : pasien berdiri dengan kaset
vertikal di depan sendi bahu yang difoto atau pasien tidur telungkup dengan
posisi kaset horizontal di bawah sendi bahu yang tidak difoto.
·
Posisi
objek : tepi anterior bahu yang akan
difoto menempel kaset, kepala menengadah, lengan lurus ke bawah di samping
tubuh.
·
Arah
sinar : horizontal jika pasien
berdiri dan vertikal jika pasien telungkup.
·
Titik
bidik : pada superior angle scapula
·
FFD
: 90 cm
·
Kaset
: 24 x 30 cm
·
Kriteria
radiograf : tampak gambaran PA Os clavicula dengan ujung proximal mengalami
superposisi dengan costae dan sedikit mengalami perubahan bentuk dibanding
proyeksi AP.
Ø Proyeksi PA axial
·
Posisi
pasien : pasien tidur telungkup di atas
meja pemeriksaan atau berdiri menghadap standar kaset.
·
Posisi
objek : kedua bahu diatur sama tinggi
terhadap meja pemeriksaan, kedua tangan lurus di samping tubuh. Kaset
diletakkan horizontal di bawah sendi bahu yang akan difoto pada pasien yang
telungkup dan kaset diletakkan vertikal di depan bahu yang difoto bila pasien
berdiri, dengan batas atas kaset 5 cm dari batas atas bahu.
·
Arah
sinar : menyudut 15°-45° caudal
pada pertengahan Os clavicula.
·
Kaset
: 24 x 30 cm
·
Kriteria
radiograf : tampak ujung proximal Os clavicula mengalami superposisi dengan
costae.
Ø Proyeksi AP axial
·
Posisi
pasien : berdiri pada posisi lordotik
atau tidur terlentang dengan batas kaset.
·
Posisi
objek : punggung pasien lurus, bahu
yang difoto diatur sedemikian rupa sehingga tepi postero superior bahu yang
difoto menempel kaset, lengan lurus ke bawah di samping tubuh.
·
Arah
sinar : menyudut 15º cranial jika
pasien dalam posisi lordotik dan menyudut 25º-30º cranial jika pasien tidur
terlentang ditunjukkan pada pertengahan Os clavicula.
·
Kaset : 24 x 30 cm
·
Kriteria
radiograf : tampak ujung proximal Os clavicula mengalami superposisi dengan
costae.
Keterangan gambar :
1. Os clavicula
2. Processus coracoideus
3. Sendi ocromioclavicula
4. Sendi sternoclavicula
Ø Proyeksi Tangensial
·
Posisi
pasien : pasien tidur terlentang di
atas meja pemeriksaan.
·
Posisi
objek : kedua bahu diganjal dengan
spon, dan diatur sama tinggi, kepala diberi bantal yang lebih tinggi dan
menghadap sisi yang tidak difoto, kedua tangan lurus ke bawah di samping tubuh.
Kaset diletakkan vertikal pada superior bahu yang difoto.
·
Arah
sinar : horizontal menyudut 25°-40°
cranial.
·
Titik
bidik : pada daerah antara clavicula
dan chest atau ujung proximal clavicula.
·
Kaset : 24 x 30 cm
·
Kritera
radiograf : tampak gambaran clavicula bebas superposisi dengan costae.
Keterangan gambar :
1. Os clavicula
2. Acromion
3. Costa I
Ø Proyeksi Tarrant Method
·
Posisi
pasien : pasien duduk di atas meja
pemeriksaan.
·
Posisi
objek : badan agak membungkuk, lengan
atas vertikal di samping tubuh, lengan bawah diletakkan di atas Os femur
horizontal, kaset diletakkan di atas Ossa antebrachii dan diberi pelindung
gonad.
·
Arah
sinar : 25°-35° ke caudal atau
supero inferior.
·
Titik
bidik : bagian posterior Os
clavicula.
·
Kaset : 24 x 30 cm
·
Kriteria
radiograf : tampak gambaran clavicula dari sternoclavicula sampai acromion clavicula.
Keterangan gambar :
1. Sendi sternoclavicula
2. Os clavicula
3. Acromion
4. Sendi acromioclavicula
5. Processus coracoideus
B.
Os
scapula
Teknik radiografi untuk Os scapula adalah sebagai
berikut:
Ø Proyeksi AP (Anterior Posterior)
·
Posisi
pasien : pasien supine , kemudian diatur
oblique antero posterior 30˚ dengan tepi dorsal bahu yang difoto dekat ke kaset.
·
Posisi
objek : lengan atas dan lengan bawah
dari tepi yang difoto lurus di samping tubuh dan diatur supine terhadap meja
pemeriksaan, bahu yang tidak difoto diganjal dengan sandbag, tubuh tetap dalam
posisi oblique AP 30˚ sehingga memungkinkan scapula difoto horizontal. Bahu
yang difoto diatur di atas pertengahan kaset.
·
CR
: tegak lurus film
·
CP
: caput humerus
·
FFD
: 90 cm
·
Kv
: 56-62 kv
·
ma
: 50-200 ma
·
Sec.
: 0,06-0,08 sec.
·
Pasangkan
marker r / l pada kaset film
·
Dilakukan
eksposi (pasien tidak boleh bergerak)
·
Kriteria
gambar AP oblique projection:
-
Tampak
gambaran AP Os scapula dengan margo medialis , inferior angle dan margo
lateralis.
-
Bawah
overlap dengan rongga thorax
Ø Proyeksi Lateral
·
Posisi
pasien : pasien ditempatkan atau duduk
dalam posisi tegak, menghadapi perangkat grid vertikal. Ketika seorang pasien
tidak dapat ditempatkan pada posisi tegak, proyeksi lateral scapula dapat
diperoleh dengan menyesuaikan tingkat rotasi tubuh dan penempatan dari lengan
rawan posisi terlentang.
·
Posisi
objek : atur pasien dalam posisi
miring, dengan scapula terpusat ke grid. Lengan ditempatkan sesuai dengan
daerah scapula yang akan ditunjukkan.
·
CR
: tegak lurus dengan film
·
CP
: caput humerus
·
FFD
: 90 cm
·
Kv
: 56-62 kv
·
Ma
: 50 – 200 ma
·
Sec.
: 0,06 – 0,08 sec.
·
Pasangkan
marker r / l pada kaset film
·
Dilakukan
eksposi (pasien tidak boleh bergerak)
·
Kriteria
gambar lateral projection
·
Tampak
Os clavicula, acromion, caput humer
C.
Os
humerus
Ø Proyeksi Anterior Posterior
·
Posisi pasien : pasien supine di atas meja
pemeriksaan.
·
Posisi objek :
1. Os humerus dan Ossa
antebrachi diatur lurus di atas meja pemeriksaan dalam posisi
anatomi.
2. Abduksikan sedikit Os humerus, lalu
taruh di atas film 30×40 yang lebarnya dibagi dua.
3. Shoulder joint dan elbow joint masuk
ke area penyinaran.
4. Kaset diatur sejajar dengan long
axis tangan.
·
CP
: pertengahan humerus
·
CR
: vertikal tegak lurus ke film
·
FFD
: 90 cm
Ø Proyeksi Lateral
·
Posisi pasien : pasien supine di atas meja
pemeriksaan.
·
Posisi objek :
1.
Os
humerus dan Ossa antebrachi diatur lurus di atas meja pemeriksaan.
2.
Tempatkan
Os humerus di atas kaset 30×40.
3.
Humerus
di-endorotasi sampai bagian palmar tangan menghadap sisi medial.
4.
Dua
sendi masuk area penyinaran.
5.
Kaset diatur
sejajar long axis tangan.
·
Alternatif posisi objek 1 : tangan pasien difleksikan/diletakkan
di pinggang sehingga sendi siku membentuk sudut.
·
Alternatif posisi objek 2 : bagi pasien kasus fraktur berat
gunakan proyeksi lateral decubitus dengan sinar horizontal. Humerus pasien
diangkat sedikit/diberi pengganjal di bawahnya lalu tube rontgen diatur
horizontal. Gunakan kaset sisi sebelah kiri (yang ada labelnya) untuk proyeksi AP
dan kaset sisi sebelah kanan untuk proyeksi lateralnya.
·
CP
: pertengahan humerus
·
CR
: vertikal tegak lurus ke film
·
FFD
: 90 cm
D.
Ossa
antebrachii
Ø Proyeksi Anterior Posterior
·
Posisi pasien : pasien duduk menghadap meja pemeriksaan.
·
Posisi objek :
1. Letakkan lengan bawah di atas
kaset 30×40 yang lebarnya dibagi dua (untuk 2 posisi).
2. Posisikan antebrachi
pasien agar pertengahan antebrachi berada di pertengahan film.
3. Pastikan dua sendi masuk area kaset
(wrist dan elbow masuk area penyinaran).
4. Beri pengganjal untuk imobilisasi.
·
CP
: pertengahan antebrachi.
·
CR
: vertikal tegak lurus ke film.
·
FFD
: 90 cm
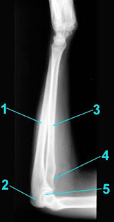
Keterangan
gambar:
1. Os radius
2. Styloid process of radius
3. Radial tuberosity
4. Radial head
5. Lateral epicondyle
6. Styloid process uf ulna
7. Head of ulna
8. Os ulna
9. Olecranon
10. Medial epicondyle
11. Os humerus
Ø Proyeksi Lateral
·
Posisi pasien : pasien duduk di samping meja pemeriksaan atau menghadap
meja pemeriksaan.
·
Posisi objek :
1.
Fleksikan
lengan bawah 90 derajat dan letakkan pertengahan antebrachi di pertengahan
film.
2.
Aturlah
ekstremitas agar posisi true lateral dan tangan tidak boleh dalam keadaan
prone atau supine (harus tegak).
3.
Pastikan
dua sendi masuk area kaset (wrist dan elbow masuk
area penyinaran).
4.
Lakukan
immobilisasi dengan meletakkan pengganjal.
5.
Aturlah
lengan bawah dan tangan agar true lateral.
·
CP
: pertengahan antebrachi
·
CR
: vertikal tegak lurus ke film
·
FFD
: 90 cm
Keterangan
gambar:
1. Os ulna
2. Olecranon
3. Os radius
4. Radial tuberosity
5. Trochlear joint
E. Elbow
joint
Ø Proyeksi Anterior Posterior
·
Ukuran kaset : 24 x 30 cm melintang dibagi 2
( AP dan Lateral )
·
FFD : 90 cm
·
CR : vertikal tegak lurus kaset
·
CP : pertengahan elbow joint
·
Posisi
pasien :
1.
Pasien
supine di atas meja pemeriksaan atau pasien diposisikan berdiri atau duduk di
samping meja pemeriksaan dengan posisi pasien lebih rendah dari meja
pemeriksaan sehingga humerus dan elbow joint pada bidang yang sama (datar).
2.
Atur
tangan pasien sehingga tangan pasien dalam posisi supine atau AP dengan tujuan
untuk mencegah adanya rotasi pada tulang lengan bawah.
3.
Atur
pertengahan kaset sehingga terletak pada pertengahan elbow joint.
4.
Pastikan
selama eksposi tidak ada pergerakan pada pasien.
5.
Jangan
lupa untuk memberikan marker r atau l dengan posisi label pada kaset berada di
bawah.
6.
Tempatkan
karet timbal atau apron pada daerah pelvis pasien untuk mencegah radiasi hambur
yang mengenai pasien dan untuk kepentingan proteksi radiasi untuk pasien.
Kriteria gambar :
-
Terbukanya
elbow joint
-
Caput
radii, collum radii, dan tuberositas radii sedikit superposisi dengan bagian
proximal Os ulna
-
Tidak
tampak rotasi atau pergerakan pada epicondylus humeri
-
Tampak
soft tissue dan bony trabeculation.
Keterangan gambar :
1. Radius
2. Radial tuberosity
3. Lateral epicondyle
4. Humerus
5. Ulna
6. Medial epicondyle
7. Olecranon process of ulna
Ø Proyeksi
Lateral
·
Ukuran kaset : 24 x 30 cm melintang dibagi 2
( AP dan Lateral )
·
FFD : 90 cm
·
CR : vertikal tegak lurus kaset
·
CP : pertengahan elbow joint
·
Posisi
pasien :
1. Pasien supine di atas meja
pemeriksaan atau pasien diposisikan berdiri atau duduk di samping meja
pemeriksaan dengan posisi pasien lebih rendah dari meja pemeriksaan sehingga
humerus dan elbow joint pada bidang yang sama (datar).
2. Posisi awal lengan pasien adalah
supine kemudian perlahan-lahan fleksikan elbow joint sebesar 90 derajat dan
atur sedemikian rupa supaya humerus dan lengan pasien kontak dengan meja
pemeriksaan.
3. Atur pertengahan kaset sehingga
terletak pada pertengahan elbow joint.
4. Pastikan posisi elbow joint pasien
dalam keadaan true lateral dan selama eksposi tidak terjadi pergerakan ataupun
rotasi pada pasien.
5. Jangan lupa untuk memberikan marker
r atau l dengan posisi label pada kaset berada di bawah.
6. Tempatkan karet timbal atau apron
pada daerah pelvis pasien untuk mencegah radiasi hambur yang mengenai pasien
dan untuk kepentingan proteksi radiasi untuk pasien.
Kriteria gambar :
-
Terbukanya
elbow joint
-
Tampak
elbow joint dengan posisi 90 derajat
-
Tuberositas
radii menghadap anterior
-
Processus
olecranon tampak pada gambaran
-
Sebagian
caput radius tampak superposisi dengan processus coronoid
-
Tampak
superposisi pada epicondylus humeri.
Keterangan gambar :
- Os humerus
- Medial supracondylar ridge
- Coronoid process of the ulna
- Head of the radius
- Os radius
- Olecranon process of the ulna
- Os ulna
F. Ossa
manus
Ø Proyeksi Posterior Anterior (PA) atau
Dorsopalmar
·
Kaset :
kaset yang digunakan adalah kaset ukuran 18×24 cm untuk manus dangan besar
rata-rata atau gunakan kaset ukuran 24×30 cm melintang untuk dua gambaran.
·
Posisi pasien :
1.
Untuk posisi pasien dalam pameriksaan radiologi, pasien
duduk menyamping pada tepi meja pemeriksaan.
2.
Atur ketinggian pasien sehingga lengan pasien nyaman di
atas meja pemeriksaan.
·
Posisi obyek :
1.
Istirahatkan lengan antebrachi pada meja pemeriksaan
dan tempatkan manus dengan bagian palmar di bawah menempel pada kaset.
2.
Letakan MCP joints pada pertengahan kaset, dan atur
kaset sejajar antebrachi dan manus.
3.
Rentangkan jari-jari tangan yang diperiksa.
4.
Mintalah pada pasien agar tangannya relaks untuk
menghindari gerakan. Cegah pergerakan yang tidak disengaja dengan menggunakan
softbag atau plaster. Sebuah sandbag mungkin dapat diletakkan diatas distal
antebrachi.
5.
Jangan lupa gunakan apron pada pasien untuk melindungi
organ sensitife.
6.
Pada saat eksposure, pasien diusahakan menoleh ke sisi
yang tidak difoto atau menjauhi arah sinar.
·
FFD : 100cm
·
Arah sinar : atur sinar tegak lurus pada kaset
pada metacarpophlangeal joint digit III.
·
Tampilan struktur : pada PA projection dari
carpals, metacarpal, phalang, persendian, distal radius dan ulna tampak pada
radiograf. Gambaran ini juga terdapat pada PA oblique projection pada digit
pertama.
·
Kriteria radiograf
Kriteria radiograf yang tampak pada proyeksi ini yaitu :
-
Tidak ada rotasi pada manus ditandai dengan :
v Lekuk
pada metakarpal dan phalang sama pada kedua sisi
v Soft
tissue pada kedua sisi phalang sama besar
v Jika
terfisualisasi kuku di pertengahan pada masing-masing distal phalanges
-
MCP dan interphalangeal joint membuka menandakan manus diletakan
rata pada kaset.
-
Jari sedikit memisah ditandai tidak adanya soft tissue
yang overlap.
-
Terlihat anatomi distal radius dan ulna.
-
Tampak soft tissue dan trabekula tulang.
Ø PA
Oblique Projection (Lateral Rotasi)
·
Kaset : gunakan kaset 18 x 24 cm memanjang atau
24 x 30 cm melintang untuk dua gambar.
·
Posisi pasien :
1.
Dudukkan pasien di ujung meja radiografi.
2.
Sesuaikan tinggi pasien untuk mengistirahatkan lengan
bawah di atas meja.
·
Posisi objek :
1.
Istirahatkan lengan bawah pasien pada meja dengan
tangan yang pronated dan telapak tangan yang beristirahat pada kaset.
2.
Atur tangan obliq sehingga MCP joint membentuk suatu
penjuru atau sudut kira-kira 45 derajat dengan kaset.
3.
Gunakan irisan busa dengan sudut 45 derajat untuk
mensupport jari-jari dalam posisi yang diekstensikan untuk mempertunjukkan
interphalangeal joint.
4.
Ketika memeriksa tulang telapak tangan (metakarpal),
didapatkan PA projection Ossa manus memutar tangan pasien secara
menyamping (secara eksternal) dari posisi yang pronated sampai ujung jari
menyentuh kaset.
5.
Jika tidak memungkinkan untuk memperoleh posisi yang
benar dengan semua ujung jari yang beristirahat (diletakkan) pada kaset.
Angkatlah jari telunjuk dan ibu jari pada suatu material radiolucent. Pengangkatan
digunakan untuk membuka jarak persendian dan mengurangi pemendekan dari phalang.
6.
Untuk pendekatan yang lain. Pusatkan kaset pada MCP joint
dan atur garis tengah paralel dengan poros antebrachi dan manus.
7.
Gunakan apron pada pasien untuk mengurangi radiasi
serap.
·
FFD : 100 cm
·
Arah sinar : tegak lurus kaset pada MCP joint
digit III.
·
Tampilan struktur : hasil gambar yang dihasilkan
pada pa oblique projection adalah jaringan tulang dan soft tissue manus. Posisi
tambahan ini digunakan untuk menyelidiki fraktur dan kondisi patologis.
Keterangan gambar :
1.
Trapezoid bone
2.
Trapezium bone
3.
Capitate bone
4.
Scaphoid bone
5.
Lunate bone
6.
Hook of the hamate bone
7.
Hamate bone
8.
Triquetral bone
9.
Pisiform bone
·
Kriteria evaluasi
Berikut ini anatomi yang tampak pada radiograf :
-
Terjadi sedikit overlap dari mekarpal tiga dan empat
serta empat dan lima.
-
Sedikit overlap base dan caput metakarpal.
-
Metakarpal kedua dan ketiga memisah.
-
Interphalangeal joint dan MCP joint membuka.
-
Digit sedikit terpisah dengan tidak overlap atas
jaringan lunak mereka.
-
Semua anatomi distal radius dan distal ulna.
-
Tampak jaringan tipis (soft tissue) dan trabecula
tulang.
Ø Proyeksi
Lateral (Mediolateral atau Lateromedial)
·
Kaset : untuk proyeksi ini gunakan kaset 8 x 24
cm membujur untuk tangan ukuran rata-rata atau 24 x 30 cm melintang untuk dua
gambar.
·
Posisi pasien :
1. Persilahkan
pasien duduk di ujung meja radiografi dengan antebrachi menempel dengan meja
dan Ossa manus pada posisi lateral dengan aspek ulnaris di bawah.
2. Alternatif,
tempatkan sisi radial dari pergelangan tangan menempel kaset. Namun, posisi ini
lebih sulit bagi pasien.
3. Jika
siku diangkat, bantulah dengan sandbag.
·
Posisi objek :
1.
Ekstensikan digit pasien dan atur digit pertama di
sudut kanan palmar.
2.
Tempatkan permukaan palmar tegak lurus terhadap kaset.
3.
Pusat kaset pada MCP joint, dan atur garis tengah
sejajar dengan tangan dan lengan bawah. Permukaan ulnaris letakkan pada
menempel meja. Imobilisasi ibu jari mungkin diperlukan.
4.
Atur phalang digit 2-5 superposisi.
5.
Jangan lupa gunakan apron pada pasien untuk melindungi
organ sensitif.
·
FFD : 100 cm
·
Arah sinar : vertikal tegak lurus pada kaset
pada MCP joint digit I.
·
Tampilan struktur : gambar radiograf ini
menunjukkan proyeksi lateral manus dalam keadaan ekstensi, posisi ini biasa
digunakan untuk lokalisasi benda asing dan fraktur metacarpal. Teknik eksposure
tergantung pada benda asing.
·
Kriteria evaluasi
Anatomi yang ditunjukan pada proyeksi ini:
-
Ossa manus dalam posisi true lateral ditunjukan dengan
v Phalang
superposisi kecuali ibu jari
v Superposisi
metakarpal
v Superposisidistal
radius dan ulna
-
Ekstensi digit
-
Ibu jari bebas dari gerakan dan superimposisi
-
Terlihat anatomi distal radius dan ulna
-
Setiap garis tepi tulang superimposisi bayangan dengan
metakarpal lain.
Ø Proyeksi
AP Perbandingan (Norgaard Metode)
Metode norgaard. Kadang-kadang disebut sebagai ball-catcher position,
posisi ini membantu dalam mendeteksi perubahan radiologis awal yang dibutuhkan diagnosis
rheumatoid arthritis. Norgaard melaporkan mungkin sering untuk pembuatan
diagnosis dini dari rheumatoid artritis dengan menggunakan posisi ini sebelum
tes laboratorium yang positif. Dia juga menetapkan bahwa intensifying screen
memiliki butiran sangat halus akan digunakan untuk menunjukkan resolusi tinggi.
Low kilovoltage (60 sampai 65) dianjurkan untuk mendapatkan kontras yang
diperlukan.
·
Kaset : untuk proyeksi ini gunakan kaset 24 x 30
cm membujur.
·
Posisi pasien :
pasien duduk di ujung meja radiografi. Norgaard merekomendasikan bahwa kedua
tangan akan diradiografi di posisi setengah supinate untuk perbandingan.
·
Posisi objek :
1.
Tempatkan kedua telapak tangan bersama-sama. Pusatkan Mcp
joint pada aspek medial pada kedua tangan pada kaset. Kedua tangan harus dalam
posisi lateral.
2.
Tempat dua spons radiolusen 45 derajat terhadap
aspek posterior dari masing-masing tangan.
3.
Rotasi tangan pasien untuk posisi halfsupinate sampai
permukaan dorsal setiap tangan bertumpu pada spons 45 derajat.
4.
Ekstensikan jari-jari pasien, dan sedikit abduksikan
ibu jari untuk menghindari superimposisi.
5.
Metode asli dari posisi tangan sering diubah. Pasien
diposisikan mirip dengan metode yang diterangkan kecuali jari-jari tidak ekstensi.
Sebaliknya jari-jari seolah-olah menggenggam seperti akan menangkap bola.
Informasi diagnostik ini ditunjukkan dengan posisi sendiri.
6.
Gunakan apron pada pasien untuk melindungi organ
sensitife.
·
FFD : 100 cm
·
Arah sinar : tegak lurus ke titik tengah antara
kedua tangan selevel MCP joint untuk salah satu dari dua posisi pasien.
·
Tampilan struktur : hasil gambaran menunjukkan
proyeksi AP 45 derajat obliq dari kedua tangan. Radiologi awal mengalami
perubahan signifikan dalam membuat diagnosis arthritis rheumathoid, simetris,
sangat rendah, garis luar tulang tidak jelas sesuai dengan penempatan dari sendi
kapsul dorsoradial di ujung proksimal falang pertama dari empat jari. Selain
itu, demineralisasi terkait struktur tulang selalu hadir di daerah tersebut
langsung di bawah cacat kontur.
·
Kriteria evaluasi
Berikut ini hasil yang tampak pada radiograf
-
Tampak kedua tangan dari daerah karpal ke ujung digit.
-
Kaput metakarpal bebas dari superimposisi.
-
Penggunaan tingkat kepadatan di atas kaput metakarpal.

























